HAPPY PATIENT
outstanding
Magnificent service, quality work exactly what I expect from an amazing practice. Quality, value, customer service is outstanding and the reviews don’t lie. I thought I’d never say this, but I’m actually looking forward to the next appointment.
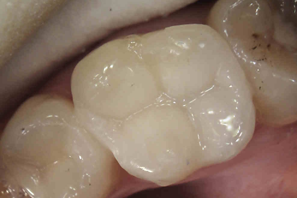
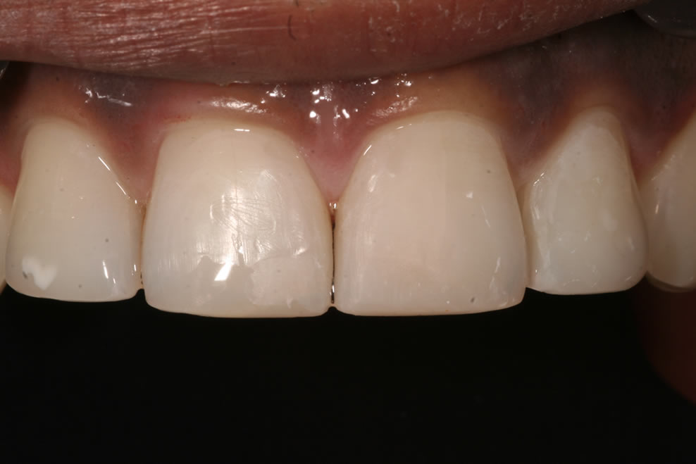
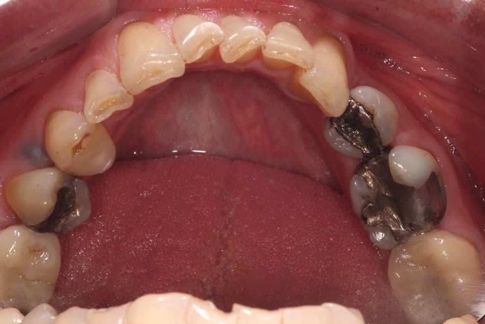
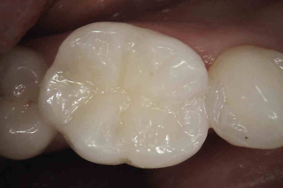
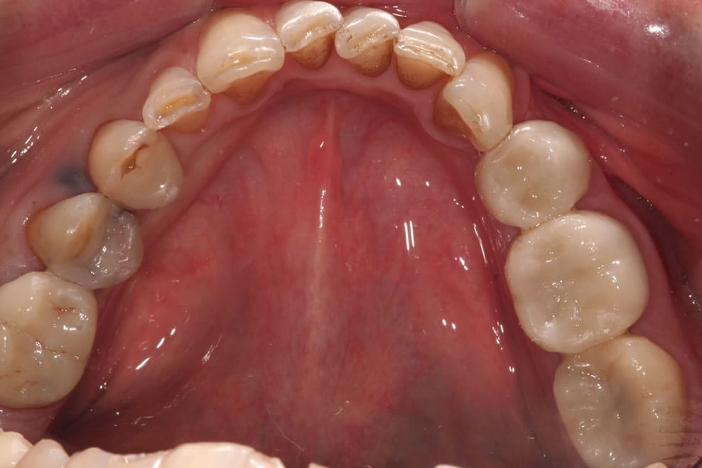
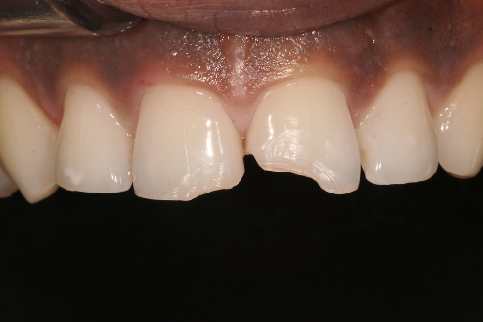
YAY! NO MORE DARK FILLINGS
WHITE FILLINGS
A white filling is a composite material made up of resin and glass, which is a tooth coloured and mercury free and can be used for many different purposes.
If you have a broken or decayed tooth, a composite filling can be used to restore the tooth to its original shape and colour.
Composite fillings can also be used for cosmetic purposes to restore chipped or uneven front teeth. Many patients also opt to have composite fillings used to replace old, unsightly silver fillings.
