BENEFITS OF INVISALIGN
Benefits of this type of treatment include having teeth straightened in a generally shorter period of time and alignment of your top and bottom jaws.
You can also enjoy the flexibility of your braces being hidden from an untrained eye, making you feel less self-conscious when socialising or speaking in public.
With removable devices you can also take them out to eat or for special occasions, so they fit around your lifestyle.
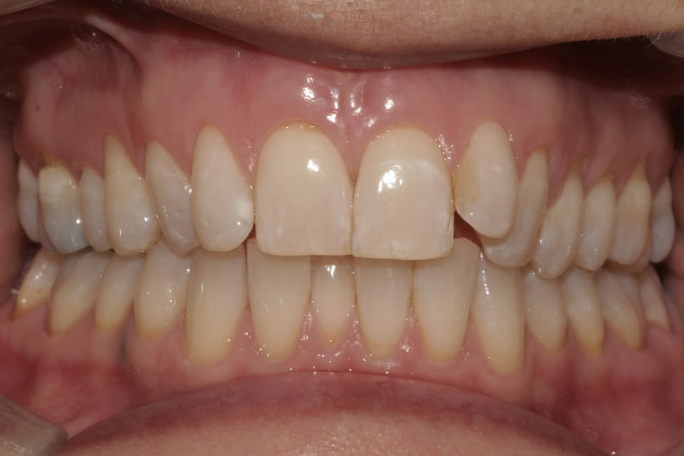
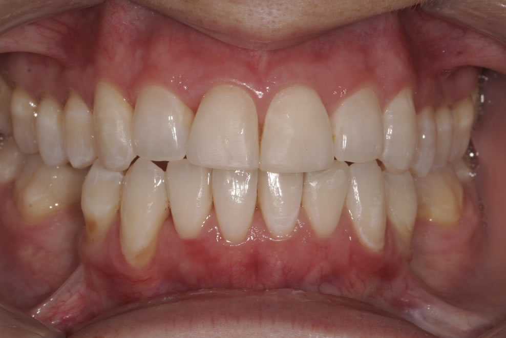
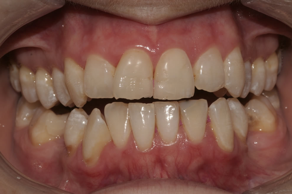
CREATING BEAUTIFUL, STRAIGHTER SMILES
About Invisalign
Invisalign is the perfect solution to crooked or misaligned teeth without having to wear traditional metal braces. Known as invisible orthodontics, this type of treatment offers you the choice of wearing a clear and removable appliance whilst straightening and aligning your teeth.
This is a great option for patients who would not feel comfortable wearing metal braces for months on end.
The technology behind invisible orthodontics is highly advanced and often gives patients a much shorter treatment time, depending on their individual case.
