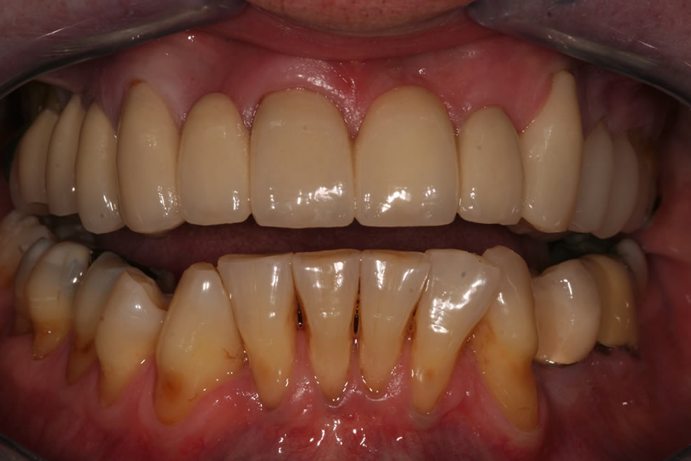
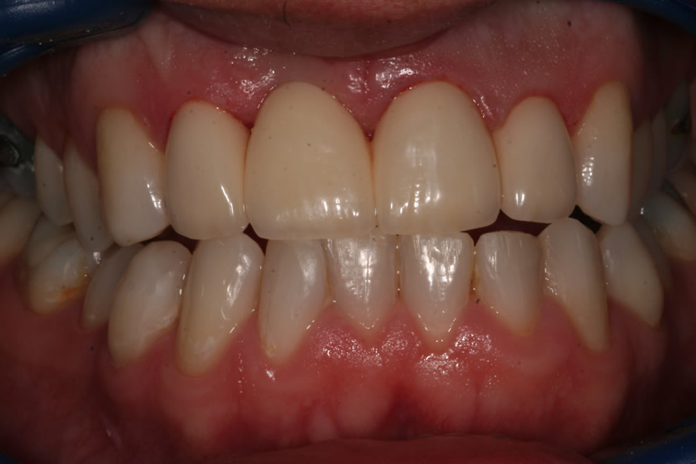
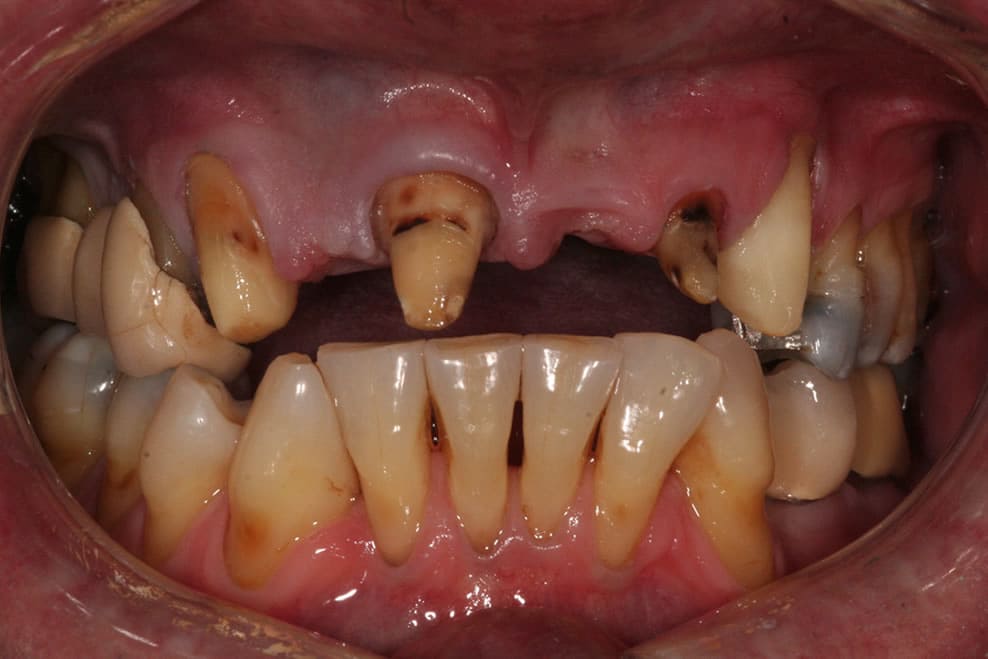
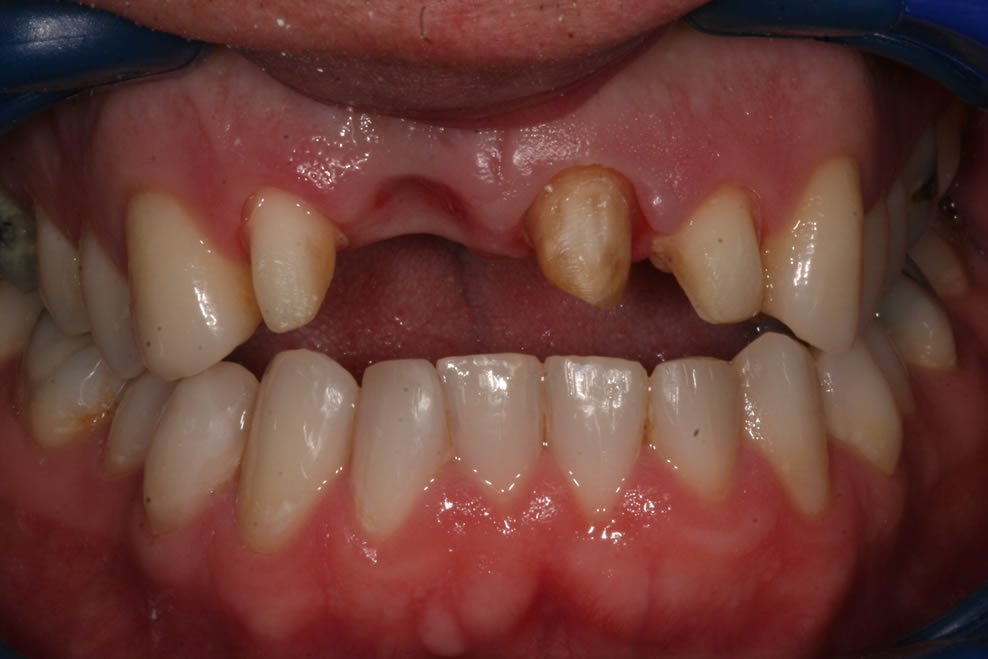
MISSING A TOOTH?
DENTAL BRIDGE
A bridge is a custom made restoration that may be recommended by your dentist if you are missing one or more teeth. Gaps left by missing teeth may cause remaining teeth to shift or rotate into the empty spaces, which may result in a bad bite. The imbalance caused by missing teeth can also lead to gum disease and temporomandibular joint disorders.
A bridge would span the space where the teeth are missing. Bridges are cemented to the natural teeth surrounding the empty space and these teeth serve as anchors for the bridge. As with crowns, you have a choice of materials for bridges.
There are two types of bridge that are available – a conventional fixed bridge or an adhesive bridge. Your dentist will help you decide which would be more suitable for your requirements based on the location of the missing tooth, its function and cosmetic considerations.


