IMPROVE YOUR SMILE
DENTAL CROWNS
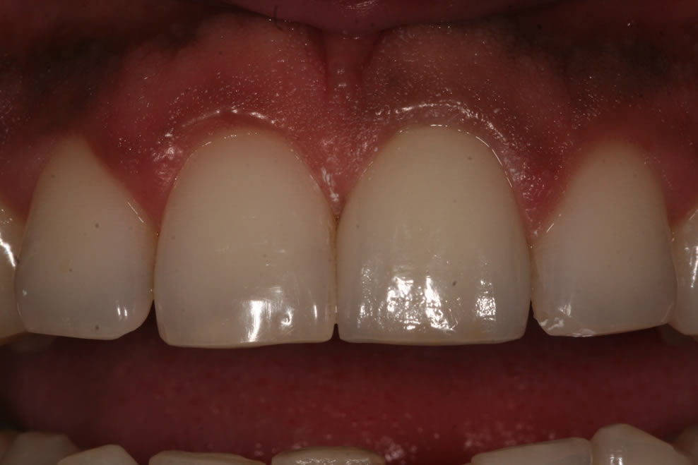
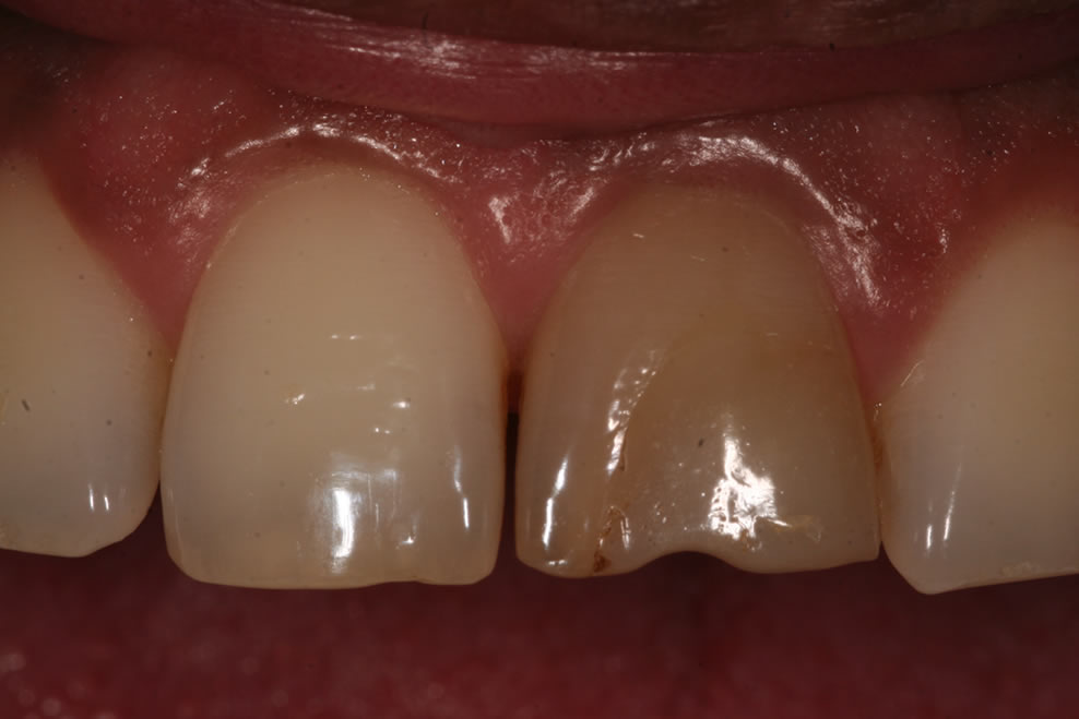
A crown is a restoration that fits over a tooth to restore its size, shape, strength and/or to improve its appearance.
Each crown is custom made to fit the patient’s exact bite.
A crown is designed as a permanent solution to weakened or compromised teeth, or to create a more cosmetically pleasing tooth.

