BOOK A COMPLIMENTARY IMPLANT CONSULTATION
Book a complimentary consultation today and find out more about the benefits of dental implants and all the treatment options available to you including the revolutionary teeth-in-a-day treatment options.
WE CAN HELP
If you’re tired of letting your teeth rule your life we can help you. To find out more about dental implants.
We offer FREE consultations where you can discuss your requirements and we help you to achieve your dream smile.
We host regular dental implant open days where you can find out all you need to know in a relaxed, informal setting.
Request to see a dentist directly with an initial assessment.
Call us for a chat
01920 465908
OR
BOOK YOUR APPOINTMENT ONLINE
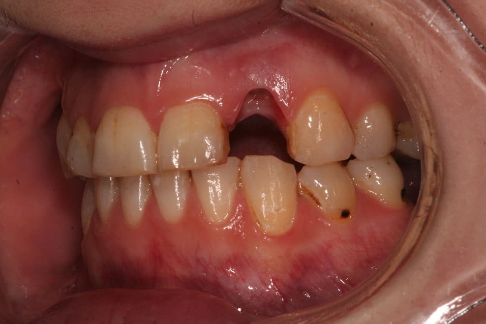
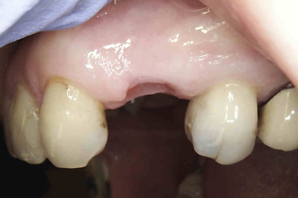
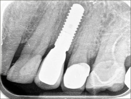
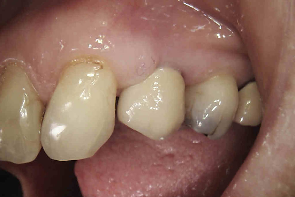
IMPLANTS FOR SINGLE & MULTIPLE MISSING TEETH
IMPLANT DENTISTRY
Dental implants are the best-known treatment to replace single or multiple missing teeth because they feel and behave just like natural teeth. After a while you won’t be able to tell the difference – even forgetting that they are there.
The procedure to place implants and replace a missing tooth or multiple teeth is straightforward as there is little need to treat surrounding teeth. Once a crown is placed over the implant it will appear indistinguishable from the natural teeth.
BENEFITS OF DENTAL IMPLANTS
They look, feel and act like your natural teeth
You can eat your favourite foods again
They help preserve your surrounding teeth and bone
They’re a fixed, permanent, long-lasting solution to tooth loss.
WHY WE RECOMMEND IMPLANTS TO REPLACE MISSING TEETH?
They are simply the closest thing to a natural tooth.
We recommend implants for patients who wish to replace any missing teeth with an alternative that looks, feels and functions in much the same way as their remaining healthy teeth.
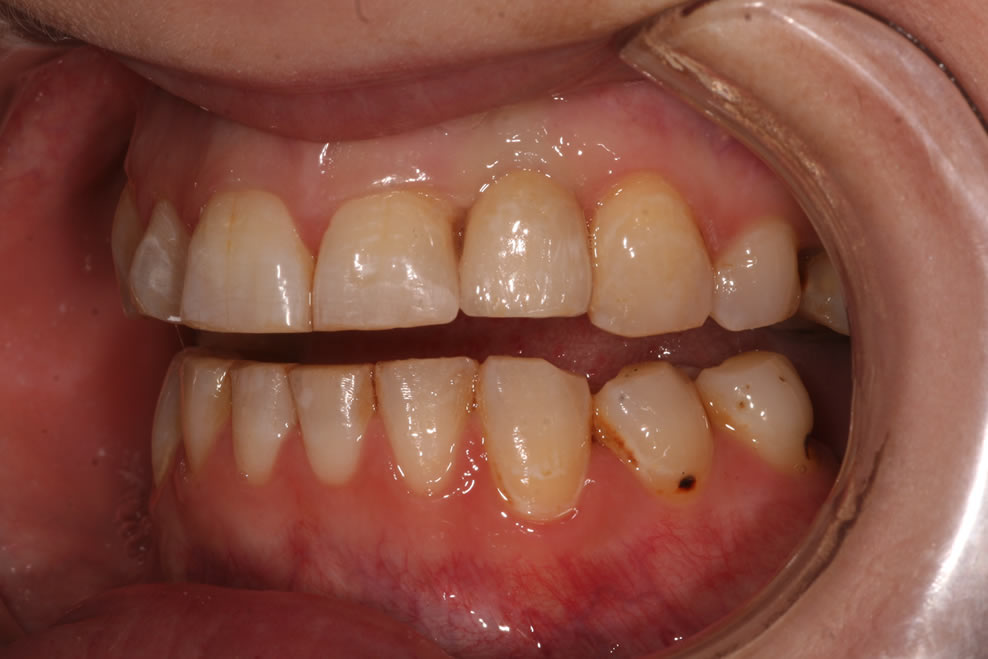
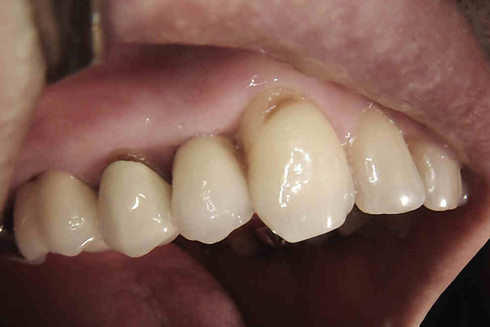
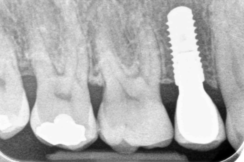
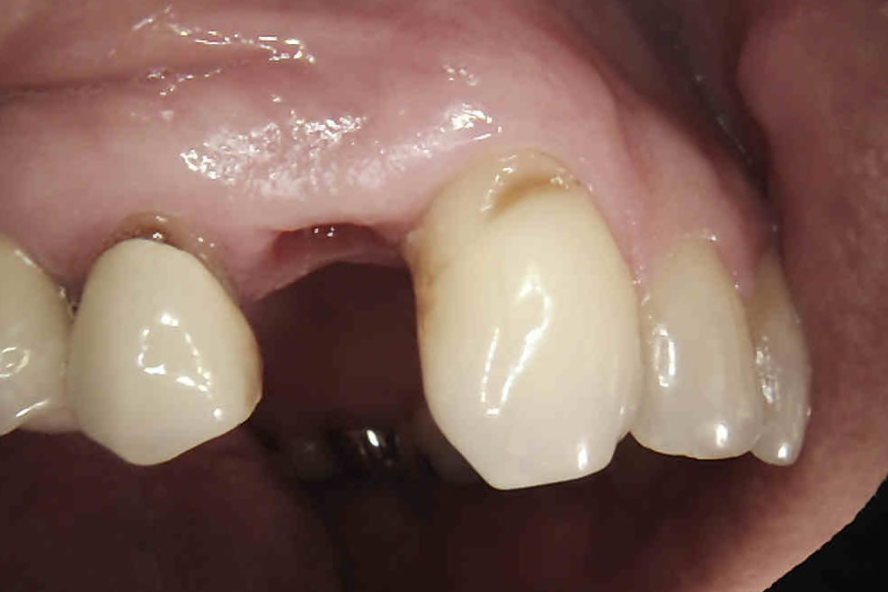
GIVING ANNETTE MORE CONFIDENCE WITH
DENTAL IMPLANTS
Call us to book your free initial consultation
01920 465908
OR
