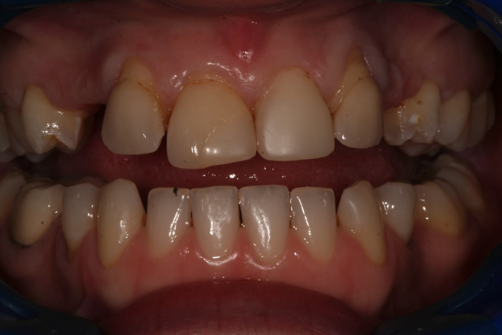
Patients often choose to restore several teeth in a single appointment.
One particularly common request is for composite bonding to improve the structure of the front upper and lower teeth for a more even look. This also has the advantage of making teeth easier to brush and floss, benefitting oral and dental hygiene.
ElevatE YOUR Confidence
smile makeover
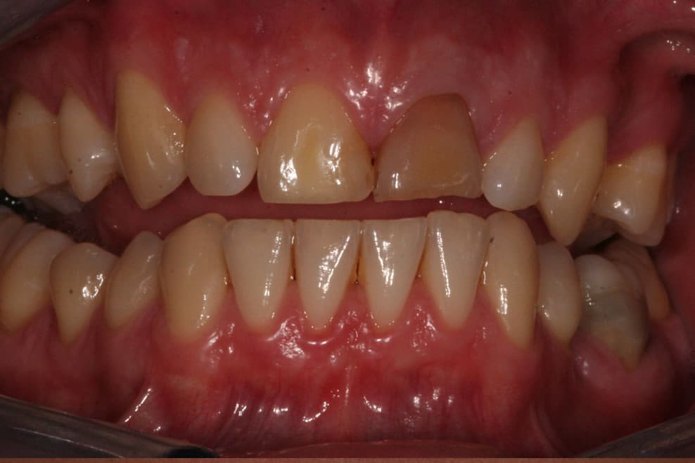
Our smile design treatments can be used to eliminate problems such as:
Chipped teeth
Discoloured fillings
Broken teeth
Crooked teeth
Discoloured teeth
Missing teeth
“Gummy” smile line
Worn down teeth
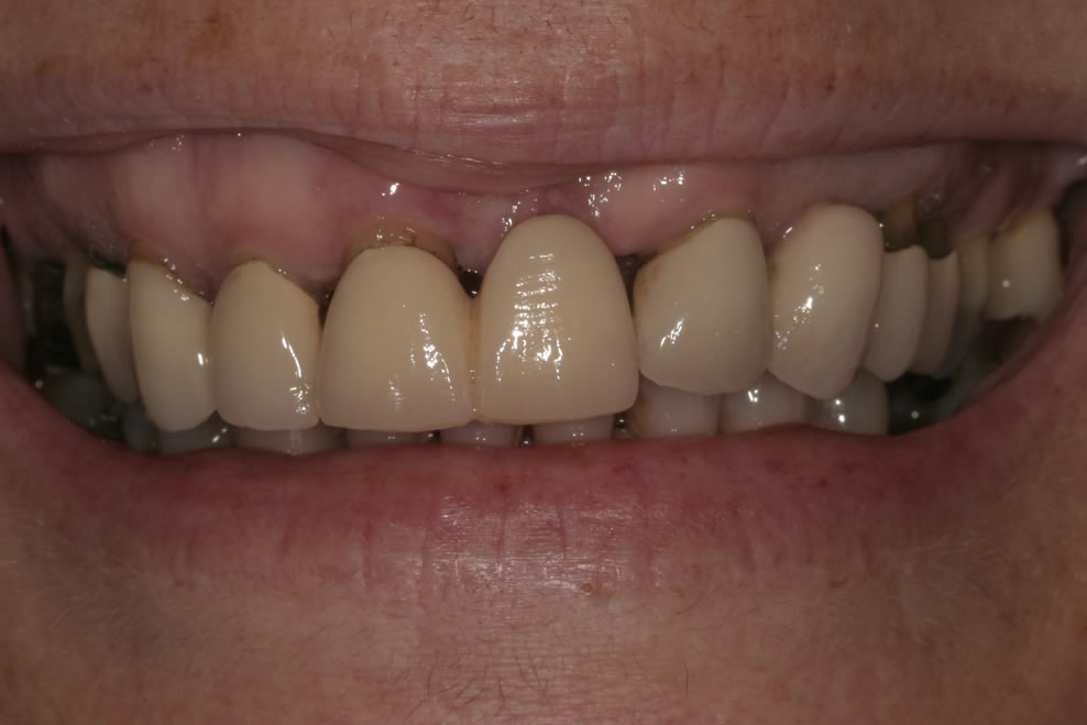
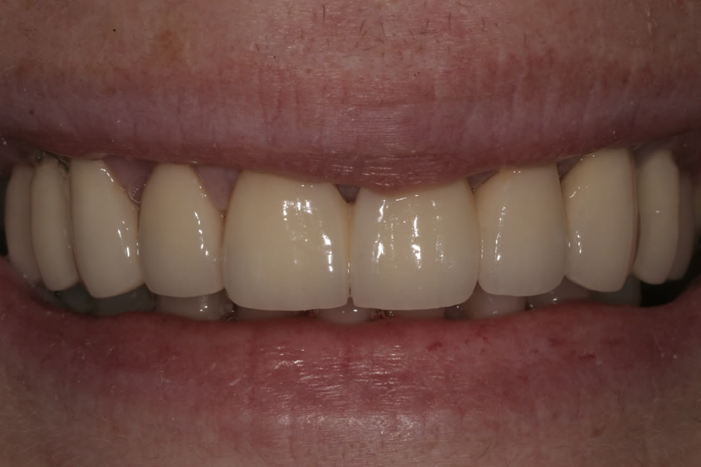
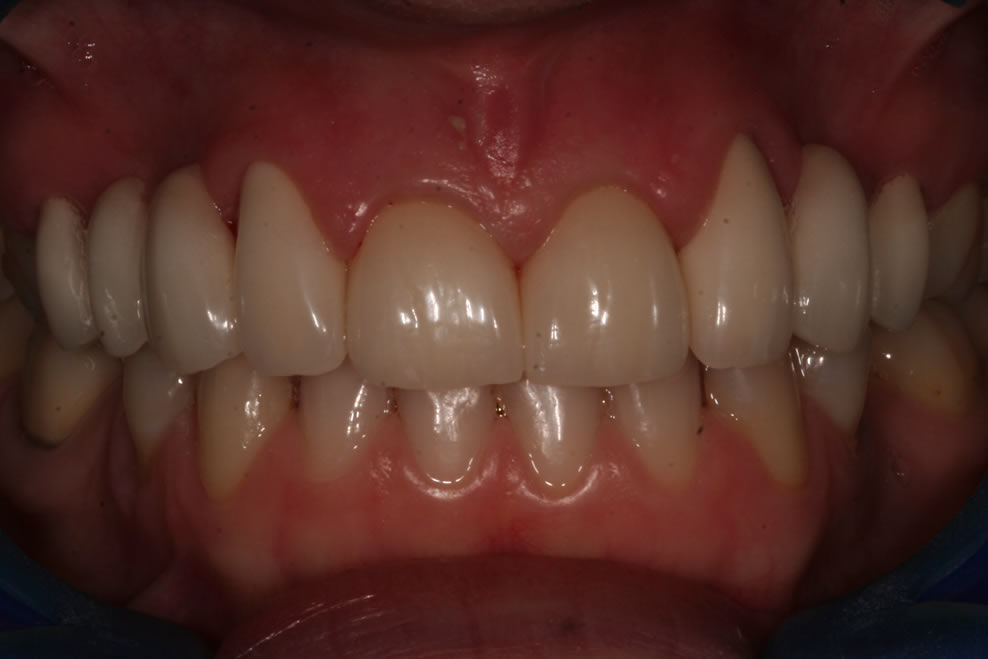
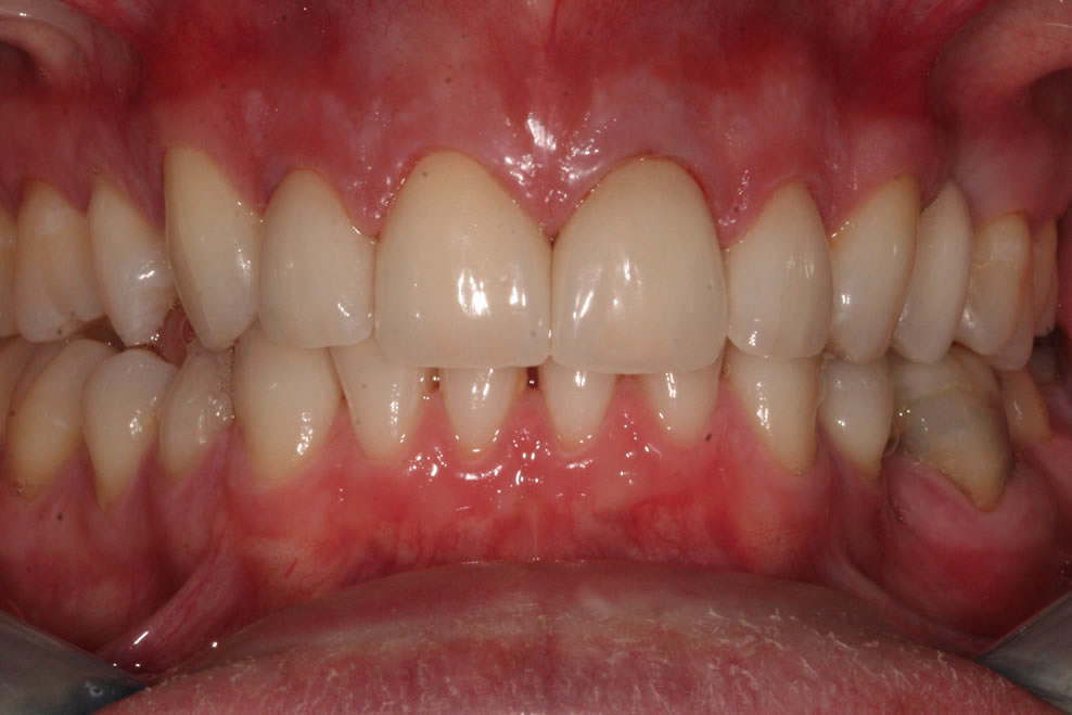
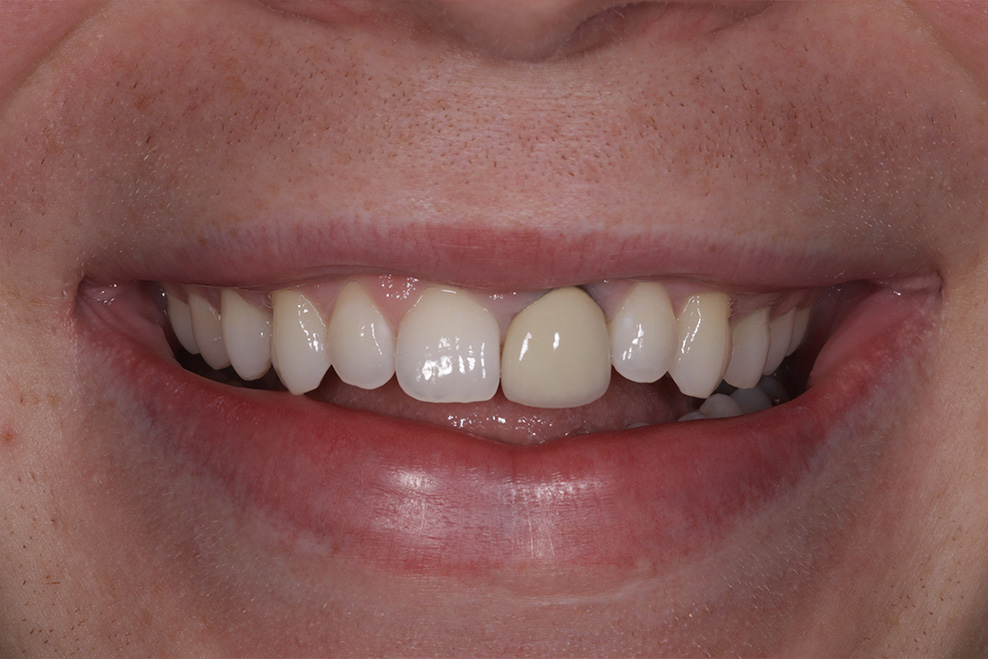
We love to create a naturally beautiful and confident smile tailored to each patient.
If you are unhappy with your smile, at Hertfordshire Dental Group we offer a bespoke smile design service for our patients.
Smile Design can involve many different aspects of dentistry, and a combination of different treatment types.
For in-clinic appointments, we kindly ask for a £50 appointment fee, redeemable against the cost of your treatment if you decide to proceed. Please note, the fee is non-refundable if treatment isn’t suitable for you, or if you choose not to go ahead.
WHAT TREATMENTS ARE USED FOR A SMILE MAKEOVER?
TOOTH CONTOURING
Tooth contouring involves careful adjustment to your teeth to create better shapes and sizes to enhance your smile.
This is a minimally invasive procedure and normally involves the removal of a few millimetres of your teeth. This is a very straightforward yet effective way to even your smile without committing to extensive restorative treatment.
GUM CONTOURING
If you have an uneven or low gum line, often described as a “gummy smile”, gum contouring can transform your smile and help create the perfect smile. Gum contouring reshapes the gum and then enables us to restore the natural proportions of your teeth. Each patient’s case is different and your dentist can advise you whether you would require simple soft tissue sculpting or, if you are a more severe case, it may involve a surgical procedure.
TOOTH WHITENING
Tooth whitening can be an effective and minimally invasive way to change your smile.
View more about tooth whitening
TEETH STRAIGHTENING
Orthodontics is a highly effective and minimally invasive way to transform your smile.
View more about adult braces
VENEERS
For patients that would like a full smile makeover, veneers are the most effective and immediate way to transform your smile.
View more about veneers
COMPOSITE BONDING
Composite bonding is an easy and effective way to make small changes to your smile. It is appropriate for any patient with good dental health.
View more about composite bonding
IMPLANTS
Implants are a highly effective way to replace missing teeth.
View more about dental implants

