HAPPY PATIENT
THE RESULTS WERE AMAZING
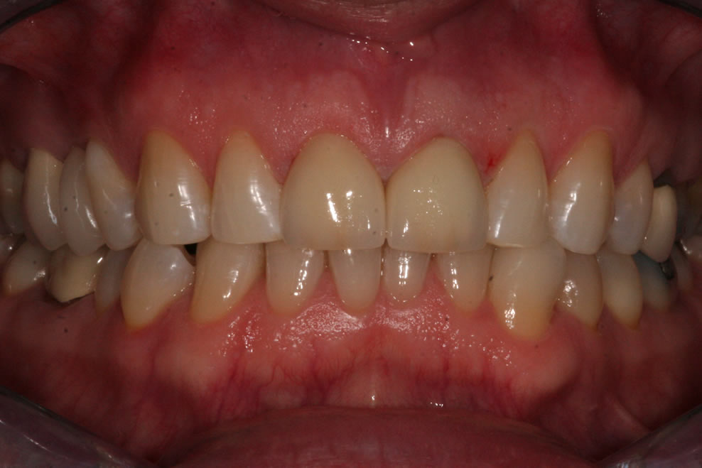
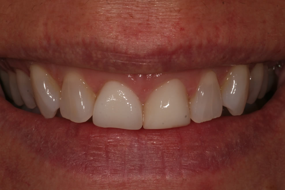
As a young women, I was very conscious of my smile in photos and when socialising. I found ways of hiding my smile or avoiding certain situations. At my regular check-up I explained to my dentist how I felt and he advised me that there are many options available to me – after discussing my options we decided the best route to take would be to have veneers.
After seeing some before and after photos I decided that this was exactly what I needed. I only had to attend the practice twice and the results were amazing. I feel confident when I smile and people have complimented me on my smile and teeth. I feel it has opened new doors and opportunities for me.
PERFECT YOUR SMILE WITH
PORCELAIN VENEERS
Porcelain veneers can be used to give you a bright, beautiful smile in place of chipped, broken, misaligned, undersized or worn down teeth. The application of veneers can be performed on a single tooth or multiple teeth to provide uniform shape, colour and symmetry to your smile.
Veneers are wafer thin custom made pieces of porcelain that are securely bonded to the teeth offering a natural, life like appearance with minimal tooth preparation.
Porcelain is the preferred material as it is stronger than other materials. It resists staining and it reflects light like a natural tooth.

For in-clinic appointments, we kindly ask for a £50 appointment fee, redeemable against the cost of your treatment if you decide to proceed. Please note, the fee is non-refundable if treatment isn’t suitable for you, or if you choose not to go ahead.
